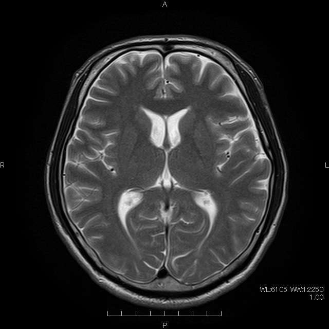
ご褒美があれば、検査だって“おでかけ”になる。 くつろぎ温泉 七栗脳ドック [くつろぎ温泉 七栗脳ドック]は、自然に包まれた三重県津市の榊原温泉で、脳の病気の早期発見と予防を目的とした検査「脳ドック」と、温泉旅館での「日帰り温泉+贅沢なお食事」を堪能するウェルネスコンシャスなプチ旅型の脳ドックプランです。 今回はこのご褒美チケット(日帰り温泉+お食事)付・脳ドック[くつろぎ温泉 七栗脳ドック]をご紹介します。 脳ドックをプチ旅感覚で ご褒美チケット(温泉+食事)付の脳ドックで自分をいたわる一日を過ごす 「脳の病気は怖いし心配。だから脳の検査はしておきたい。でも、なんか脳の検査ってハードルが高いよね。」脳の検査は一度しておきたいのだけど、検査費用もよくわからないし、どこで検査を受けていいのかもわからないし、なによりも検査結果が悪かったら…なんて考えるとなかなか一歩を踏み出せない。今、そんな方がとても多いのだそう。 それであれば、緑にあふれた心落ち着くところで検査、そのあとに気持ちの良い温泉とおいしいお食事というご褒美をつけたら多くの人に気分良く気軽に脳ドックを受けていただけるのではないか、と作られたのがこの企画です。企画したのは、三重県津市の榊原温泉地区にある藤田医科大学七栗記念病院と3旅館の有志。湯治でも名をはせた、歴史ある榊原温泉をウェルネス(心身の健康を追求して幸せになる生き方)に利用してほしいという願いを込めて採算度外視で実施しているという、我々から見ればとてもお得でウェルネスコンシャスなパッケージなのです。 INDEX■脳ドックが寿命を延ばす?■■清少納言も愛した榊原温泉■■七栗脳ドックについて■・脳ドック(七栗記念病院)・・日帰り温泉+お食事(榊原温泉3館)・・七栗病院インタビュー・ 脳ドックが健康寿命を延ばす? 今、「健康」「長寿」というキーワードに興味を持つ人々の間で脳ドックが話題になっています。まずは「脳ドックって何?」という初歩的な疑問から調べてみました。 脳ドッグってなに? 船は、長い航海を安全に行うため、定期的に「ドック」に入って(破損などがないかを)点検します。そして、人間が人生という長い航海を安心して健康に暮らせるように、身体を点検するのが「人間ドック」です。さらに、「人間ドック」では網羅されていない脳の健康状態を検査するのが「脳ドック」ということになります。後遺症が残ったり、生死に関わったりするような脳の疾患を早期に発見することで、予防や進行の防止につなげるために現代では欠かせない検査のひとつです。 脳はセンシティブな場所にあるため、脳に病気が見つかると治療や手術などが困難になってしまう可能性が高く、検査での早期発見はとても重要です。脳血管疾患での死亡が6.6%(死因の第4位|2023年厚労省)、40~64歳で介護が必要になる方の原因のうち51.1%が脳卒中であること、さらに65歳以上の約16%が認知症(厚労省認知症対策総合研究事業報告書|2013年)であること…などという脳疾患についてのデータを見せつけられると、早めに脳の検査を行っておきたいと思うのが人情。そこで脳ドックについてさらに調べてみました。 脳ドックで脳の健康チェック! 脳ドックでは、次のような脳の疾患が発見可能です。・無症候性脳梗塞(高齢者の10~20%に認められる)・脳微小出血(高齢者の5~20%、脳梗塞例の30~40%、脳出血例の60~70%に認められる)・脳動脈瘤(30歳以上の3%)・脳腫瘍・頚動脈の狭窄(発見される可能性が3%以下で高年齢になるほど頻度が増える)これらの病気は早期発見によって適切な対策を取ることが可能になります。例えば、無症候性脳梗塞が早期に見つかった場合、将来の発作を防ぐための生活習慣改善といった軽い方法から治療を始められたりするのです。このような理由から、疾患の早期発見を助ける脳ドックの受診が奨励されているのだそうです。※一般社団法人日本脳ドック学会HPよりhttps://jbds.jp/brain-dock/ 「湯ごり」お清めの榊原温泉 脳ドックを行う七栗温泉病院も、贅沢気分で満喫する温泉もお食事もすべて榊原温泉地区内で提供されます。あまり聞きなじみがない(かもしれない)榊原温泉の魅力を探ってみました。 榊原温泉って? この榊原温泉、古墳時代から温泉場として続いているといわれるこの一帯は「七栗(ななくり)の湯」と呼ばれ、1,000年以上も前に清少納言が「枕草子」で『湯はななくりの湯、有馬の湯、玉造の湯』と讃えたことでも有名です。「榊原」という地名は、1500年ほど前に継体天皇皇女「ササゲヒメ」が斎王になられた時に、この一帯に自生していた榊を伊勢神宮に献上して使われるようになったことから命名され、温泉場は「榊原温泉」と呼ばれるようになったのだそう。とてもスピリチュアルで由緒ある土地柄でもあるのです。 お清め「湯ごり」の温泉 「湯ごり」、漢字で書くと「湯垢離」。お湯で身体についた垢を落とす”お清め“のことなのだそうです。その昔、伊勢神宮にお参りする人々は伊勢神宮に到着する前に身を清めるために榊原温泉で「湯ごり」をしていました。伊勢神宮ができた約2000年前からの風習だといわれています。京・奈良から伊勢に向かう途中にあった名湯・榊原温泉は自然と「湯ごり」をして清らかな身体で参拝するためのルートになっていたのですね。まず、この榊原温泉で体を清めてから二見ヶ浦の海でさらに身を清めて伊勢神宮へ向かう、これが正統派のルートだったとも言われています。脳ドックの帰りにさっぱりと”お清め“をしていく、というのもココロとカラダに効くいい感じがしますね。 湯治場としての榊原温泉 人類は“ホモ・モビリタス”(移動する動物)であり、人類最古の旅は「巡礼」つまり魂を癒すための旅だったといわれています。また水や湯に入ってカラダを癒す風習は知恵を授かった人類が行っていた「最初の健康法」ともいわれていて、紀元前500年ころにはギリシャで硫黄泉に入浴していたという記録があります。日本でも1300年前に編纂(へんせん)された「風土記」にも温泉で身体を癒すという記述がされています。もちろん榊原温泉の一帯でも古代からお湯で健康を維持していたという風習は行われていました。この温泉地に大きな変化が起こったのは天正16年(1588年)のこと。日本全国で湯治(温泉療養)が大ブームになり、榊原温泉にも湯の神が祀られている「射山神社(いやまじんじゃ)」を一角に入れた湯治場が完成しました。地元で「宮の湯」と呼ばれていた100室以上の大きな湯治場であったといわれています。このころから「健康と榊原温泉」は密接に関係していたわけです。 「恋こ槌」で幸せを引き寄せる射山神社 榊原温泉の中心にある温泉大明神として祀られてきた「射山神社」は、恋愛成就のパワースポットとしても話題になっています。祭神の大己貴命(おおなむちのみこと)は、出雲の縁結びの神様で大黒様の化身。境内にある大黒様(石像)が右手に持つ小槌は「恋こ槌」とよばれていて、これを撫でると「恋愛成就」や「良縁が叶う」とのこと。恋愛だけでなく、人と人を結ぶ神社でもあります。ぜひ「恋こ槌」で素敵な人間関係を引き寄せてください。 【七栗脳ドック】ご褒美付きのウェルネスな一日 七栗脳ドックの概要 [くつろぎ温泉 七栗脳ドック]は現在注目されている「脳ドック」と「日帰り温泉+贅沢なお食事」が組み合わされた企画です。脳の病気の早期発見と予防を目的とした検査「脳ドック」を榊原温泉地区内の大学病院で行い、その帰りに、伊勢神宮参拝前の身を清める温泉として有名な榊原温泉旅館の「日帰り温泉+贅沢なお食事」を楽しむ、というプチ旅型の脳ドックです。ご褒美(日帰り温泉|お食事)は3軒の旅館からお好きな旅館を選ぶことができます。※当日に温泉と食事を満喫しても、別の日(検査から1カ月以内)に満喫されてもOk。申込時にご希望をお伝えください。 検査当日の流れ (七栗記念病院|脳ドック)来院▶問診▶採血▶心電図▶MMSE(認知症スクリーニング検査)▶MRI▶会計(当日か別日|各温泉施設)▶温泉施設にて入浴・食事▶帰宅 料金 三重県津市の榊原温泉地区にある藤田医科大学七栗記念病院と3旅館の有志が、湯治でも名をはせた歴史ある榊原温泉をウェルネスに利用してほしいという願いを込めて採算度外視で実施している脳ドックです。脳ドック(日帰り温泉・お食事チケット付き):30,000円〈税込33,000円〉※ご希望により+3,000円(税込3,300円)でディナーに変更可能:神湯館のみ※チケットは七栗記念病院にてお渡し※温泉施設にチケットをご提示ください。受診者本人のみご利用可能です。※チケットは検査当日、または後日(健診日より起算して1か月以内)にご利用可能です。 ご予約・お問合せ 脳ドック健診のご予約を入れる際、担当者が「当日丸ごと満喫コース」か「お楽しみは後日コース」かを伺います。藤田医科大学 七栗記念病院 放射線課 TEL:059-252-3036受付時間:月~金 9~17時※祝日除く もっと知りたい方は… もっと詳しく知りたい方は下記の記事をお読みすすめていただければ「脳ドック」と「ご褒美(日帰り温泉+お食事)」についてご理解いただけます。次をクリックするとすぐに読むことができます。■脳ドック▶読影・診断▶結果通知について■ご褒美(日帰り温泉+お食事)について|湯元榊原館・神湯館・湯の瀬ラムちゃんパーク 脳ドック|藤田医科大学七栗記念病院 発症すれば後遺症や、生死に関わるような脳の疾患を早期に発見し予防や進行の防止につなげるための検査です。七栗記念病院では、頭部MRI、頭部MRA、頸部MRA検査の他、認知症スクリーニング検査(MMSE)、血液検査、心電図検査、身体測定、血圧測定等により脳ドック健診を行います。※MRAとは脳に血液を送る血管を撮影する検査です。 七栗脳ドック・2つのポイント 1.大学病院ならではの充実した各種機器で検査できます。2.検査画像は日本脳神経外科学会認定・脳神経外科専門医(ひさい脳神経外科クリニック)が読影・診断します。 脳外科の専門医がしっかり読影・診断 ▶ 結果は後日郵送 開院以来、七栗記念病院との協同による脳ドックを提供してきた、ひさい脳神経外科クリニックの古川和博院長が読影・診断します。日本脳神経外科学会認定の脳神経外科専門医がしっかりと診断しますから安心です。診断結果は後日郵送されます。何か心配な結果が出たときには、かかりつけ医かお近くの脳神経外科に行って受診してください。もちろん診断した古川院長のひさい脳神経外科クリニックへのご連絡も受付けています。■ひさい脳神経外科クリニックhttps://hisai-cl.com/ 脳ドック検査実施日 月~金曜日:9時~16時、土曜日:9時~11時30分 ※祝日を除きます※次に該当する方は、検査を受けられません。□心臓ペースメーカー(MRI対応機種含む)、人工内耳、脳刺激電極、V-Pシャント、植込み型インシュリンポンプ、可動性義眼が体内にある方□胃カメラ、大腸カメラ検査等で体内に内視鏡クリップ(2ヶ月以内に留置)のある方□妊娠中の方、妊娠の可能性がある方□閉所恐怖症または狭いところが苦手な方※次に該当する方は、注意が必要です。□持続自己血糖測定器(リブレ)を使用の方 センサーを取り外す必要があり、再使用はできません。新しいセンサーをご準備ください。 藤田医科大学七栗記念病院住所:津市大鳥町424番地1電話: 059-252-1555More » 日帰り温泉+お食事|湯元榊原舘・神湯館・湯の瀬ラムちゃんパーク どのご褒美を選ぶか、を考える楽しみ 日帰り温泉+お食事は榊原温泉の人気温泉施設3館からお選びいただけます。ご自分にピッタリのご褒美を見つけてください! 湯元榊原舘 榊原温泉の中で唯一の源泉かけ流し宿。美と健康をテーマにした「温泉野菜蒸し」が人気 温泉 無色透明なアルカリ性単純泉の源泉かけ流し100%「美人の湯」が魅力。浴場からの緑に囲まれた眺めは抜群。温泉宿・ホテル総選挙2022で「うる肌部門全国エリア」第1位のお湯です。 食事 流れる川のせせらぎを眼下にしていただくランチは、ディナーをベースにした贅沢な和食ランチ。特選料理である温泉野菜蒸しはウェルネス&ビューティーで大人気のメニューです。 食事は川沿いのラウンジで インタビュー 湯元榊原舘|ブランディング担当|小寺信義様 とにかく自慢の100%源泉かけ流し温泉を楽しんでください!湧き出ている31.2℃の100%源泉と温かいお風呂を行き来することで身体が整ってくるのを感じていただきたいと思います。食事もほぼディナーのメニューをランチにアレンジしている自信作。ゆっくりとお食事と温泉をお楽しみください。温泉好きにはたまらないおもてなしをお風呂とスタッフでさせていただきます! 湯元 榊原舘(榊原温泉)住所:津市榊原町5970電話:059-252-0206More » 神湯館 「美肌の湯」が自慢。E-sportsの聖地を目指すスパスポ神湯館は親子で訪れたい。ディナーの提供はこちらだけ。 温泉 お肌がつるつるスベスベの「美肌の湯」が自慢。緑で彩られた庭を見ながら落ち着いた雰囲気でゆっくりとくつろいで温泉を楽しむことができます。 食事 静かなたたずまいの庭を眺めながらの食事は心が和みます。ランチは4種類のメニューからお好みのお食事を選ぶことができます。追加料金(3,300円)でディナーへの変更も可能です。 ほうば味噌御前ポーク ほうば味噌御前魚 メレンゲ卵かけご飯 鯛茶漬け インタビュー 榊原温泉 神湯館|技術顧問|川崎俊裕様 親子三代で楽しめる旅館です!当館は「スパスポ神湯館」として、温泉を楽しみながらE-sportsに没頭できるハイブリッドな温泉旅館です。ご両親などのご家族が脳ドックしている間にお子様やお孫さんはゲーム三昧、などという対応もさせていただいております。ご家族でワイワイと1日をお過ごしになられてはいかがでしょうか?E-sportsなどにつきましてはお気軽にお問合せください。 神湯館住所:津市榊原町5079電話:059-252-0001More » 湯の瀬ラムちゃんパーク 「温泉付きの道の駅」といった感じで気軽に楽しめる施設はバリアフリーが自慢。地元食材が中心の田舎定食が人気。 温泉 万葉の時代から続く「美肌の湯」は美容と癒しの一挙両得。介護施設の経営会社が運営しておりバリアフリーが自慢。別料金でリフト付き貸切風呂も利用可能。サウナも完備されています。 食事 地元の食材を使って地元の方々が心を込めて作る田舎料理は、心を落ち着かせ、また舌をうならせてくれます。なぜか「また来たくなる」料理を堪能してください。 食事処 インタビュー 榊原温泉 湯の瀬ラムちゃんパーク|支配人|小林誠様 ためらいがちになってしまう温泉旅行をバリアフリーの当館でお楽しみください!お身体の状態が心配、ベビーカーなどの扱いが心配、といったことで温泉旅行をあきらめている皆様のためのバリアフリーな温泉施設です。地元食材を地元の皆さんが料理した田舎料理もリピーターが多く人気です。またイベントなども頻繁に開催中です。イベントなどの予定はお気軽にお問合せください。 ラムちゃんパーク榊原温泉湯の瀬住所:津市榊原町6103電話:059-252-1313More » 【ご予約・お問い合わせ】 脳ドック健診のご予約を入れる際、担当者が「当日丸ごと満喫コース」か「お楽しみは後日コース」かを伺います。藤田医科大学 七栗記念病院 放射線課 TEL:059-252-3036受付時間:月~金 9~17時※祝日除く 【詳しくはホームページで】 https://nanakuri.fujita-hu.ac.jp/outpatient/braindock/index.html くわしくはクリック 【プロジェクト・インタビュー】 藤田医科大学・七栗記念病院 医療技術部・副部長|二村昭彦様・係長|石田智久様 (左)二村副部長|(右)石田係長 この企画には、学園・病院と榊原温泉の熱い想いが込められていました! この企画は、七栗記念病院と榊原温泉3館の有志の方々の「榊原温泉で多くのみなさまが健康になっていただきたい」という熱い想いが原点。その経緯などを藤田医科大学七栗記念病院のお二人にインタビューしてきました。 ―― このご褒美チケット付脳ドックを実施することになった経緯などを教えてください。二村副部長:もともと七栗記念病院の母体である藤田学園の医療・福祉部門のビジョンに「地域そして世界からも頼られる医療機関になる」というものがありました。そして英教育専門誌のSDG’sランキング「すべての人に健康と福祉を」部門で国内1位、世界4位にもなり、特に地域と連携とした取り組みを積極的にしてきました。今回の企画についても石田君(後述)からボトムアップされてきた「榊原温泉を盛り上げていく起爆剤としたい」という熱い想いを病院や学園が受け入れて全力でバックアップをしています。―― 石田さんや地域の方々の熱い想いを病院・学園が包んでくれているのですね。その「熱い想い」とは具体的にどのようなビジョンなのでしょうか?石田係長:もともとこの辺りはとても栄えていた温泉場だったと聞いています。そして湯治場として地元や旅人たちの健康を守り、お清めをしてきた。我々はその榊原温泉という素晴らしい場所で医療に従事させていただいています。私の一番の想いは、この榊原温泉を今一度、人々が求める、人が集まってくる温泉地として復活させたいという想いです。そしてこの病院にある大学病院ならではの医療器材を使って地元のみなさまの健康の役に立ちたい、という想いがあり、これらの想いが脳ドックと温泉、お食事のパッケージという榊原温泉ならではのメディカルツーリズムのような商品の企画につながったわけです。ですから、特に津市や三重県を中心に、できるだけ多くの方に榊原温泉を知っていただいて健康への一歩として利用していただきたいと思います。脳ドックって、受診するのにとてもハードルが高いんですよね。費用はいくらするんだろう…、悪い検査結果だったらどうしよう…、みたいな。でも、脳の病気って健康にとってとても大きなマイナス要因になることが多いんです。一刻も早く病気を見つけることで助かる確率が高くなる。ですから、ぜひ脳ドックは一度受診していただきたいと思います。できれば、榊原温泉の自然に囲まれた環境で検査をして、ゆったりと温泉を心から堪能していただけたら嬉しいです。 【まとめ】 今、健康に長生きしたいと考えた場合、人間ドックや脳ドックでの精密な検査はもはや常識となってきています。でも「人間ドックは受けたことがあるけど、脳ドックはまだ…」という方が多いのではないでしょうか。脳の病気はセンシティブな場所だけになかなか発見されにくいともいわれています。リーズナブルに、プチ旅感覚で脳ドックを受けられるこの企画は今後のトレンドになってくるような気もします。おひとりで、ご夫婦で、お仲間同士で、親子で…。しっかり脳ドックで検査、その後に歴史ある榊原温泉でお湯とお食事を堪能してココロとカラダを喜ばせる。そんな一日を計画されてはいかがでしょうか?